融合动态反向学习的阿奎拉鹰与哈里斯鹰混合优化算法(DAHHO)-附matlab代码
✅作者简介:热爱科研的Matlab仿真开发者,修心和技术同步精进,matlab项目合作可私信。个人主页:Matlab科研工作室个人信条:格物致知。更多Matlab仿真内容点击智能优化算法 神经网络预测 雷达通信 无线传感器 &...
【无人机】无人机平台的非移动 GPS 干扰器进行位置估计的多种传感器融合算法的性能分析(Matlab代码实现)
欢迎来到本博客 ❤️ ❤️ 博主优势: 博客内容尽量做到思维缜密,逻辑清晰,为了方便读者。⛳ 座右铭:行百里者,半于九十。 本文目录如下: 目录1 概述2 运行结果3 参考文献4 Matlab代码、数据、详细文章1 概述诸如美国全球定位系统(GPS)的全球导航卫星系统(GNSS)已经在民用应用和军事中变得普遍。GNSS应用是多种多样的,因为这样的系统提供精确的全球定位和时...
【鲸鱼算法】基于融合动态概率阈值和自适应变异的鲸鱼优化算法PTMWOA求解单目标优化问题附matlab代码
✅作者简介:热爱科研的Matlab仿真开发者,修心和技术同步精进,matlab项目合作可私信。个人主页:Matlab科研工作室个人信条:格物致知。更多Matlab仿真内容点击智能优化算法 神经网络预测 雷达通信 无线传感器 &...
【目标融合】基于扩展卡尔曼滤波器的传感器融合算法附matlab代码
✅作者简介:热爱科研的Matlab仿真开发者,修心和技术同步精进,matlab项目合作可私信。 个人主页:Matlab科研工作室个人信条:格物致知。更多Matlab仿真内容点击智能优化算法 神经网络预测 雷达通信 无线传感器 &...
多旋翼无人机组合导航系统-多源信息融合算法附Matlab代码
✅作者简介:热爱科研的Matlab仿真开发者,修心和技术同步精进,matlab项目合作可私信。 个人主页:Matlab科研工作室个人信条:格物致知。更多Matlab仿真内容点击智能优化算法 神经网络预测雷达通信 无线传感器信号处理图像处理路径规划元胞自动机无人机 电力系统⛄ 内容介绍ITS(智能交通系统)是一个开放的复杂巨系统,是新兴的交叉学科研究领域。ITS是将先进的信息处理技术、....
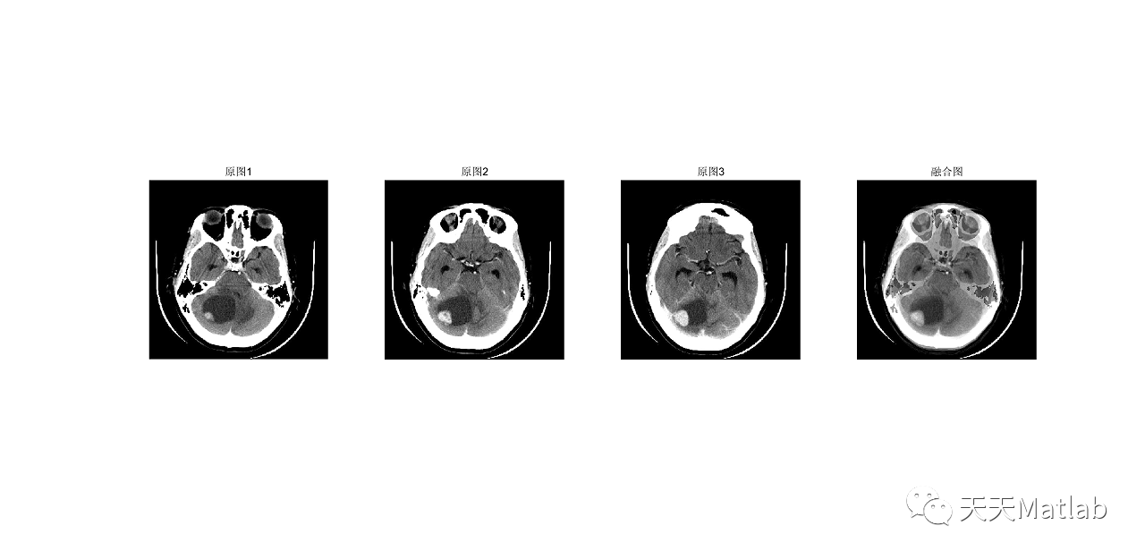
【图像融合】基于主成分结合小波离散变换PCA-DWT 的医学图像融合算法附matlab代码
✅作者简介:热爱科研的Matlab仿真开发者,修心和技术同步精进,matlab项目合作可私信。 个人主页:Matlab科研工作室个人信条:格物致知。更多Matlab仿真内容点击智能优化算法 神经网络预测雷达通信 无线传感器信号处理图像处理路径规划元胞自动机无人机⛄ 内容介绍为了将低分辨率医学图像和高分辨率全色图像有效地融合,提出了主成分分析(PCA)变换和小波相结合的融合方法.小波提....
【图像融合】基于DCT算法实现图像融合附matlab代码
1 简介针对普通相机拍摄图像中存在区域曝光问题,提出一种改进的基于离散余弦变换的多曝光图像融合算法.分别对同一场景的多幅不同曝光图像分块,并对每个小块进行离散余弦变换.对提取相应位置的低频系数平均加权,获取图像近似部分的融合分量;对高频系数基于区域标准差确定权重系数,根据权重系数的大小获取细节部分的融合分量.最后,通过反离散余弦变换获得较好质量的多曝光融合图像.仿真实验表明,该算法在提取低频系数....
本页面内关键词为智能算法引擎基于机器学习所生成,如有任何问题,可在页面下方点击"联系我们"与我们沟通。
算法matlab相关内容
- 启发算法matlab
- 融合算法研究matlab
- 方法算法matlab代码
- 算法调度问题matlab
- 图像算法matlab代码
- 算法车间matlab代码
- 算法车间matlab
- 算法图像研究matlab代码
- 方法算法matlab
- 目标算法matlab
- 融合算法matlab
- 图像融合算法matlab
- 算法图像matlab
- 算法约束matlab代码
- 目标算法matlab代码
- 算法调度问题matlab代码
- 回归预测算法数据matlab代码
- 算法数据matlab
- 优化算法研究matlab代码
- 回归预测算法matlab代码
- 回归预测算法matlab
- 多元宇宙优化算法matlab
- 聚类算法matlab
- dbscan算法matlab
- 算法matlab mmse
- 算法mimo matlab
- 算法信号matlab仿真
- 算法mimo matlab仿真
- 检测算法matlab
- 算法信号matlab
算法更多matlab相关
- admm算法matlab
- 检测算法matlab仿真
- 优化算法matlab仿真
- 调度算法优化matlab代码
- 算法线性系统matlab
- matlab算法鲁棒
- 响应算法matlab代码
- 算法任务matlab
- 目标灰狼算法matlab
- 算法分割matlab
- 粒子群算法matlab
- 路径规划算法matlab代码
- 网络算法matlab
- 网络算法matlab仿真
- 路径规划算法优化机器人matlab代码
- 智能优化算法matlab代码
- 算法神经网络matlab
- 算法调度matlab
- 算法神经网络matlab代码
- 智能优化算法优化matlab
- 无人机算法matlab
- 遗传优化算法matlab
- 调度算法matlab
- 算法优化神经网络matlab
- 算法目标matlab
- 神经网络算法matlab
- 深度学习算法matlab
- 粒子群算法优化matlab
- 调度算法matlab代码
- matlab分解算法
智能引擎技术
AI Online Serving,阿里巴巴集团搜推广算法与工程技术的大本营,大数据深度学习时代的创新主场。
+关注